| Holy Angel av Skara Brae*CH - (F) |
| sire / père dam / mère |
breeder éleveur |
birth date date de naissance |
first/repeat test premier test/répété |
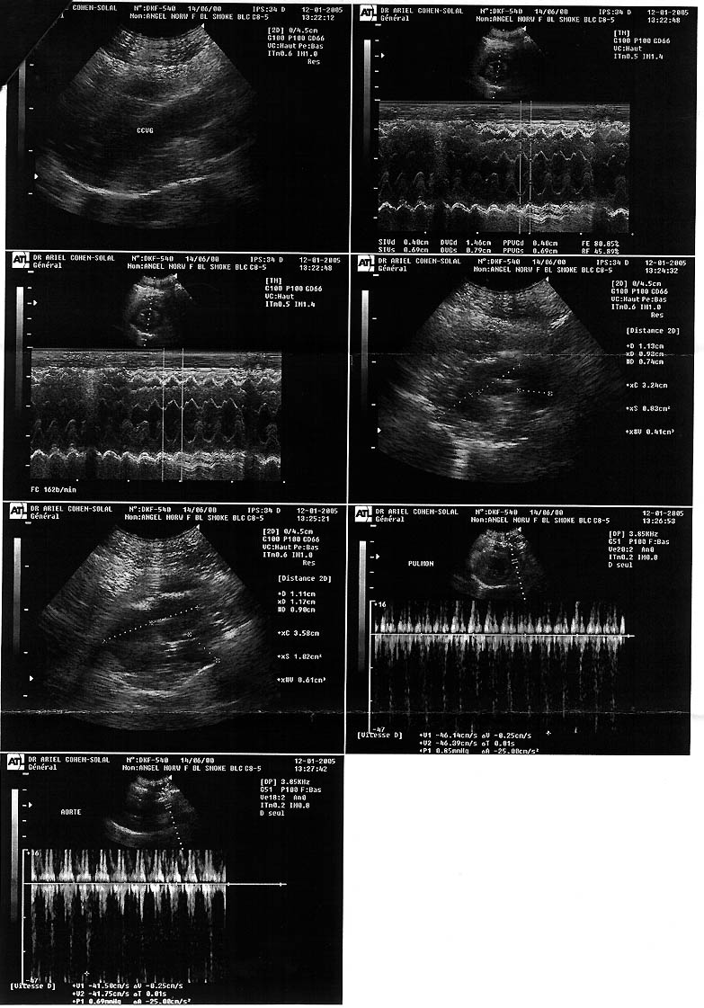
cardiac anomalies anomalies cardiaques |
results for HCM Résultat pour HCM |
age of cat when tested âge du chat lors du test |
| GIC Kong Salomon Felis Jubatus*DK S*Aristo Limaz Irma |
Sarah Runzis | 18/06/2000 | first premier |
none aucune |
normal | 4.5 years / ans |
![]() |
![]() |